
눈썹 밑 절제술을 통한 처진 눈꺼풀 복원 효과가 매우 좋은 것으로 나타났다.
최근 연세의대 영동세브란스병원 노태석··김영석 교수팀(성형외과)과 스타일성형외과 김지명 원장은 눈썹 밑 절제를 통해 처진 눈꺼풀을 당겨주는 상안검성형술 임상결과를 성형외과학 분야 최고의 국제학술지인 ‘Plastic & Reconstructive surgery’지 10월호에 발표했다.
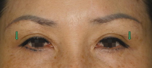
연구진은 2004년부터 2007년까지 64명의 눈꺼풀 처짐을 보인 환자에게 기존 처진 눈꺼풀을 잘라내는 수술법 대신 눈썹 바로 밑을 절제하여 눈꺼풀 피부 및 근육을 견인하는 상안검성형술을 시행했다.
시행 결과 모든 환자에게서 부작용 없이 처진 눈꺼풀의 복원은 물론 커다란 눈매나 인상의 변화 없이, 기존 수술법 보다 훨씬 자연스러운 눈매를 살릴 수 있어 환자만족도가 매우 높아짐을 확인했다.
노태석 교수는 “눈썹 바로 밑을 절개하므로 수술 흉터를 거의 찾을 수 없어 미용적 기능이 뛰어나다”고 말했다.
이어 “30대~50대에서 눈꺼풀이 늘어진 경우, 기존 수차례 상안검성형술을 받았으나 다시 눈꺼풀이 처진 경우, 눈꼬리 쪽(외측) 눈꺼풀 처짐이 있는 경우, 자신의 눈꺼풀을 유지하기 원하거나 눈꺼풀 자체에 수술을 꺼려하는 환자층에서 높은 미용적 치료효과와 만족도를 보였다”고 밝혔다.
노교수는 하지만 “심한 눈꺼풀 처짐이 있는 환자나 눈꺼풀을 움직이는 근육과 신경에 문제가 있어 처짐이 생기는 ‘안검하수증’환자에게서 이 수술법이 적용되기 어렵다”고 덧붙였다.
김지명 원장도 “기존의 처진 눈꺼풀을 잘라내는 양안의 상안검성형술이 1시간에서 1시30여분이 걸리는데 비해 눈썹 절제를 통한 상안검성형술은 평균 35분여 만 소요돼 환자 부담도 줄일 수 있는 장점이 있다”고 했다.